Tumori: cancro collo utero, tecnica innovativa per diagnosi precoce
(Adnkronos) - Uno studio pilota multidisciplinare coordinato dall'università Sapienza di Roma ha…
Intervento pionieristico al Meyer, rimossa una cisti sublinguale con il robot
(Adnkronos) - Una grossa cisti posta nella regione più profonda della lingua…
Livorno, morto operaio 50enne: è stato schiacciato da una gru
(Adnkronos) - Tragico incidente sul lavoro questa mattina a Livorno, nel quartiere…
Famiglia nel bosco, manca il traduttore: slitta la perizia sui genitori
(Adnkronos) - Nuovo rinvio nel procedimento che riguarda Nathan Trevallion e Catherine…
La Fenice, protesta contro Beatrice Venezi si sposta: spillette gialle al concerto a Pisa
(Adnkronos) - A più di quattro mesi dall'avvio della mobilitazione delle maestranze…
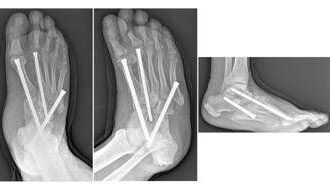
Piede di Charcot, al Gemelli soluzioni avanzate per una complicanza rara del diabete
(Adnkronos) - Uno dei più temibili nemici del piede è una grave…
Engineering e Regione Toscana, insieme hackathon su Ia per studenti Its di Firenze
(Adnkronos) - Avvicinare le giovani generazioni a un utilizzo consapevole, etico e…
Trapianti, papà dona 2 organi alla figlia. L’ansia e poi la gioia: “Posso tenerla in braccio?”
(Adnkronos) - "Posso tenerla in braccio?". Arrivato in reparto dopo aver donato…
In mostra il ‘bagaglio creativo’ di Mario Luzi tra inediti e taccuini
(Adnkronos) - È un viaggio nell'officina poetica di uno dei maestri del…
A Pavia voce alle donne in camice con Lei.Scienza
(Adnkronos) - Voce alle donne in camice con 'Lei.Scienza', evento inaugurale del…














